![]() | ![]() | ![]() |
| | ||
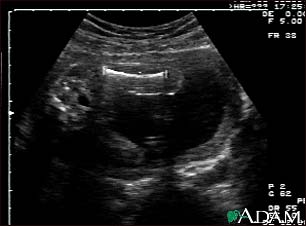
Ultrasound, normal fetus - femur measurement

This is a normal ultrasound of the fetus performed at 19 weeks gestation. A clear view of the left femur (the large bone of the leg) can be seen in the middle, towards the top of the ultrasound screen.
Update Date: 1/24/2008 Updated by: Benjamin Taragin, M.D., Adjunct Professor of Radiology, Columbia Presbyterian School of Medicine, New York, NY, and Attending Radiologist, St. Joseph's Hospital, Paterson, NJ. Review provided by VeriMed Healthcare Network. Also reviewed by David Zieve, MD, MHA, Medical Director, A.D.A.M., Inc.
